Pre-op | Extraoral view
Pre-op | Intraoral view
After crown cementation
Post-op | Extraoral view
Implant placed
Incision and flap elevation
Implant placed by palatal approach
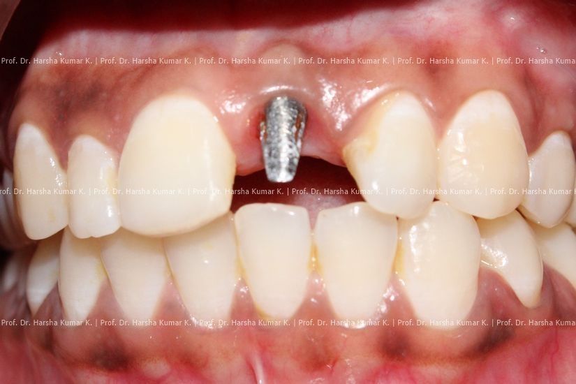
Osseointegrated implant after 5 months
Review
6 months | Extraoral view
Copyright 2022-2025. Prof.Dr.Harsha Kumar K - All Rights Reserved | A Dentaura Design